Breakdancing caused a man to develop a large tumor on his scalp after years of performing.

"Breakdance bulge, a condition caused by friction between the scalp and floor during headspins."

Breakdancing caused a man to develop a large tumor on his scalp after years of performing.

A recent study conducted by researchers in Denmark has brought to light a surprising consequence of one of the most iconic moves in breakdancing: the headspin. The report, which includes a graphic image that may be disturbing to some, sheds light on the potential physical risks associated with this beloved sport. Breaking, also known as breakdancing, has gained recognition as an official sport and will be featured in the 2024 Paris Olympics.

The sport has garnered global attention, with athletes like Raygun from Australia making headlines. In breaking, competitors engage in battles where they are judged on factors such as execution, musicality, originality, and technique. While the sport is celebrated for its athleticism and creativity, it also comes with its share of physical risks.

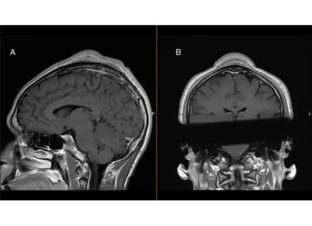
Some of the common injuries associated with breaking include carpal tunnel syndrome and other nerve problems. However, the case report highlights a lesser-known condition known as "headspin hole." This overuse injury is characterized by hair loss, which can eventually lead to a significant bump on the top of the head. The report, published in the medical journal BMJ, features a man in his early 30s who had been breakdancing for almost two decades and was diagnosed with a benign tumor that measured over 30cm in length and 2.5cm in thickness.

According to Dr. Christian Baastrup Søndergaard, a neurosurgery specialist at Rigshospitalet in Copenhagen and co-author of the case report, the condition is likely caused by repeated friction between the scalp and the floor during headspins. This, combined with the weight-bearing nature of the move, can lead to inflammation and minor bleeding, eventually resulting in scar tissue and the characteristic bulge on the scalp.

The patient, who had been experiencing discomfort and soreness, shared that he had been avoiding public outings without a hat to conceal the bump. However, after undergoing surgery to remove the growth, he expressed relief and joy at being able to go out in public without feeling self-conscious. He also mentioned that people no longer noticed the bump and his head looked completely normal.

While the breaking community is somewhat aware of the condition, there is limited information about it in medical literature. The Reddit community r/bboy, an online forum for breakers, has discussed similar experiences of developing bald spots over time and shared tips like wearing padded beanies or using gel pads under a hat while performing headspins. The case report serves as a reminder of the physical risks associated with this sport and the need for further research and awareness.

2 Views
 0
 0